Dental Implants in Alpharetta GA
All-on-4® Dental Implants
OR CALL (770) 410-7565
All-On-4 Dental Implants
How All-On-4 Dental Implants Work
All-On-4 dental implants use a specialized technique that allows four implants to support an entire arch of teeth. Here’s a closer look at the process:
1. Strategic Implant Placement: The four implants are placed at strategic angles, maximizing contact with the healthiest areas of your jawbone. The two posterior implants are tilted to increase stability and avoid the need for a sinus lift or bone grafting.
2. Same-Day Teeth: One of the most attractive benefits of All-On-4 is the possibility of immediate loading. In many cases, a temporary set of teeth can be attached to the implants immediately after surgery. This means you walk out of our office with a fully functional smile on the same day as your procedure.
3. Permanent Restoration: After the healing period, during which the implants fuse naturally with your bone, you’ll return to receive your custom, permanent set of replacement teeth. These teeth are crafted to look and function just like your natural teeth, giving you a stable, comfortable, and beautiful smile that will last for years to come.
Our team uses state-of-the-art technology to guide the All-On-4 process, ensuring precise placement and the highest levels of patient comfort and care.
Is All-On-4 Right for You?
All-On-4 dental implants are an ideal solution for many patients, particularly those who have lost multiple teeth or have extensive tooth decay. This treatment may be recommended if you meet the following criteria:
- Multiple Missing Teeth: All-On-4 implants are suitable for individuals missing a significant number of teeth on one or both arches.
- Bone Loss in the Jaw: Due to the angling technique, All-On-4 implants can often be placed without a bone graft, even in patients with reduced bone density.
- Unhappy with Dentures: If you’re currently using dentures but find them uncomfortable or inconvenient, All-On-4 implants can offer a more stable, hassle-free solution.
- Desire for a Long-Term Solution: All-On-4 implants are designed to last for decades with proper care, providing a long-term solution that supports oral health.
Our periodontists will conduct a thorough consultation to assess your unique needs and ensure All-On-4 is the right fit. During this consultation, we’ll explain the treatment process in detail, answer your questions, and customize a treatment plan to match your goals.
Comprehensive Benefits of All-On-4 Dental Implants
All-On-4 dental implants offer numerous advantages over dentures and other tooth replacement options, including:
- Natural Aesthetic: Designed to mimic the look of natural teeth, All-On-4 implants are custom-crafted to blend seamlessly with your appearance, preserving your facial structure and preventing the sunken look often associated with missing teeth.
- Improved Stability and Functionality: Unlike traditional dentures, which may shift or slip, All-On-4 implants are permanently fixed to your jawbone, allowing you to eat, speak, and laugh confidently without worry.
- Ease of Care: Caring for All-On-4 implants is simple. You can brush and floss them just like natural teeth, making them easy to maintain without the need for messy adhesives or special cleaning solutions.
- Enhanced Durability: With proper care, All-On-4 implants are designed to last a lifetime, giving you a reliable solution that doesn’t require frequent adjustments or replacements.
- Support for Jawbone Health: All-On-4 implants stimulate bone growth in your jaw, helping to prevent the bone deterioration that can occur when teeth are missing. This contributes to better overall oral health and helps preserve the natural shape of your face.
Life-Changing Impact of All-On-4 Dental Implants
Many of our patients report that All-On-4 implants have truly changed their lives. These implants offer a level of comfort and function that can’t be matched by other options, allowing patients to:
- Enjoy a wide variety of foods, from crunchy fruits to chewy meats, without fear of dentures slipping or causing discomfort.
- Speak naturally and confidently, without the need to adjust or secure their teeth.
- Feel more confident in social and professional situations, thanks to a fully restored, beautiful smile.
All-On-4 dental implants can also improve overall oral health by preventing further bone loss and providing a stable foundation that protects your remaining teeth.
What to Expect During Your All-On-4 Consultations
Your journey to a new smile begins with a comprehensive consultation. Here’s what you can expect:
1. Oral Examination and Imaging: We’ll start by examining your teeth, gums, and jawbone to assess your oral health. Using advanced imaging technology, we’ll get a clear picture of your bone structure to determine the best placement for your implants.
2. Treatment Planning: After we assess your needs, we’ll create a customized treatment plan that aligns with your goals and schedule. We’ll discuss any preparatory steps, what to expect during the surgery, and post-surgery care requirements.
3. Patient-Centric Care: We believe in taking a personalized approach with each patient. Our goal is to ensure that you feel comfortable, well-informed, and confident every step of the way.
Frequently Asked Questions About All-On-4 Dental Implants
Q: How long does the All-On-4 procedure take?
A: The All-On-4 procedure typically takes 2–3 hours per arch, and most patients receive a temporary set of teeth on the same day as surgery. Full healing and integration with the bone generally take a few months.
Q: How much do All-On-4 implants cost?
A: Costs can vary based on individual needs and any additional procedures. During your consultation, we’ll provide a detailed estimate and discuss financing options.
Q: Will my implants look natural?
A: Yes, All-On-4 implants are designed to look and feel like natural teeth, blending seamlessly with your smile.
Q: Can All-On-4 implants be placed on both arches?
A: Absolutely. Many patients receive All-On-4 implants on both the upper and lower arches for a complete, balanced smile.
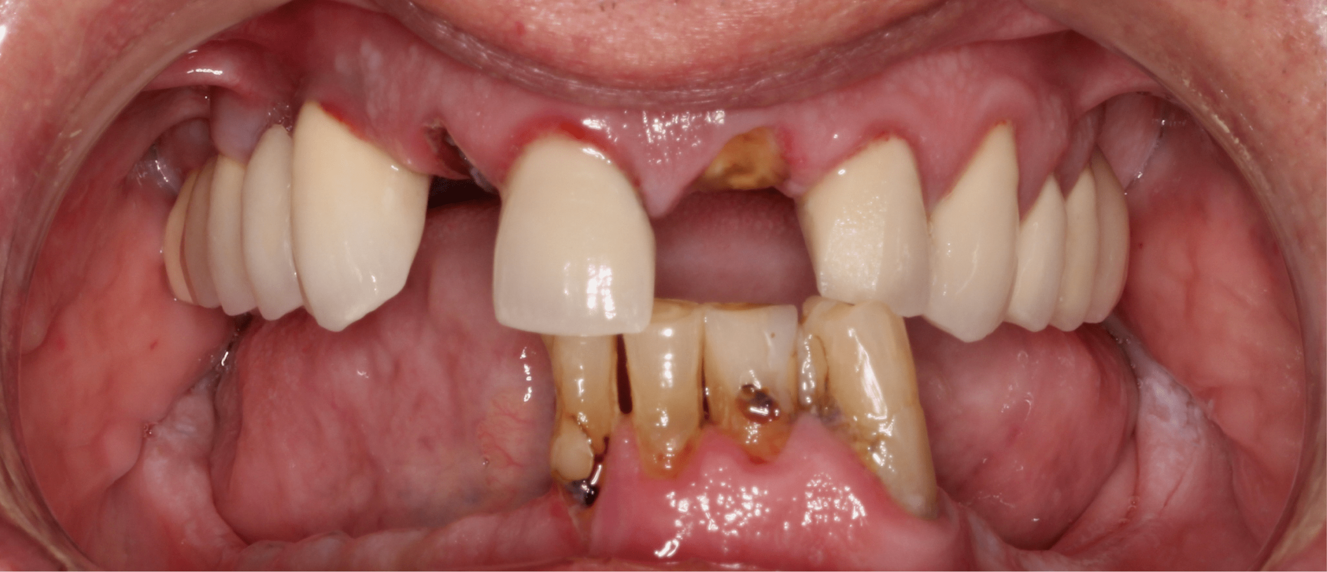
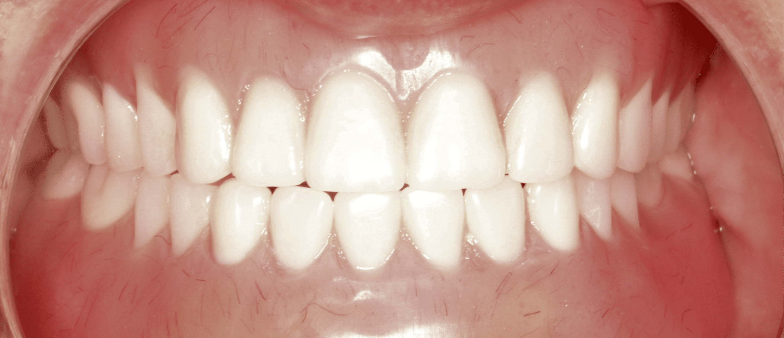
Patient Results


Dental Implants FAQ
How much do Dental Implants cost?
Many patients are often curious about the cost of this treatment option. Unfortunately, it’s difficult to give a specific price for dental implants as it depends on various factors. For instance, the cost may change depending on the material used or the number of hours it takes to fit the implant in place. If you need several implants this can also change the cost and it’s possible that you might need some form of restoration work before any dental implants can be added. Due to this, the cost of dental implants can not be compared in the same way to other treatments such as fillings, teeth whitening, or orthodontics.
How long is the process?
Installing dental implants is actually a two-part process. First the post is surgically attached to your jawbone. This part of the process takes between one and two hours. Then, you will wait a period of three months as the gums heal around the post. On your second visit, the cap can be installed on top of the post in as little as a few minutes.
Are Dental Implants worth it?
While they require some up-front cost, dental implants are a wise financial decision. The reason is because they are long-lasting, natural-feeling, and even help reduce bone loss, which can save money on expensive procedures down the line.
Is getting Dental Implants painful?
While some people may shy away from dental procedures because they are worried about the pain, the truth is that dental implants (and most dental procedures) come with only a small risk of pain. During the process, local anesthetic is used to numb the area around the implant.
Afterwards, the doctor can prescribe medications if they think you are at risk of suffering pain as your mouth heals. Often, over-the-counter medications are also effective.
How long do Dental Implants last?
One advantage of dental implants is that they are made to last for the rest of your life. Unlike regular teeth, they don’t decay over time, and are durable enough to stand up to a lifetime of use. Just be sure to keep your gums clean, as infected tissue surrounding the implant can lead to complications.
Can I get Dental Implants if I have Dentures?
Yes, dental implants can be installed on patients who have dentures. In fact, the implants can even serve as a benefit in this case, acting as a stable structure that allow the dentures to stay in place over the course of the day.
When combining dentures with dental implants, it will be necessary to have a new set of dentures made, which can be shaped to fill the gaps left by your implants.
Use of Innovative Technology
All procedures are furnished with state of the art equipment and maintained at the highest standards.
High Treatment Success Rates
Our treatments are performed by skilled dentists based on today’s standards of care, which promotes the best treatment outcomes.
Years of Dental Experience
With many years of dental experience, we are experts in all facets of dentistry. You will receive the best care available.